Ejemplo de visualización de zonas oscuras por linearización (ecualización) de la función histograma

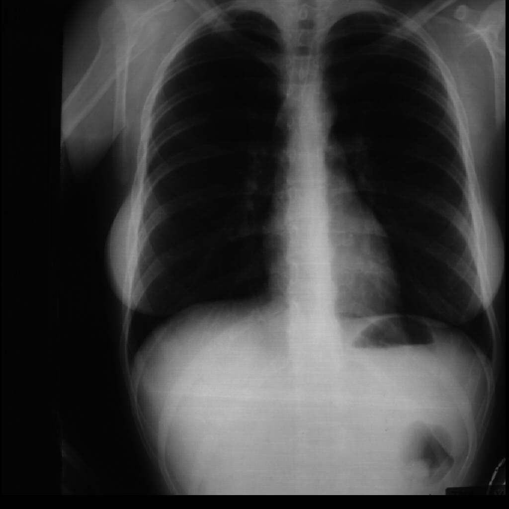
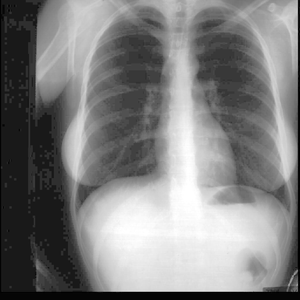
En radiografías digitalizadas es muy frecuente la existencia de zonas excesivamente blancas (sobreexpuestas o excesivamente negras (subexpuestas) en las que se hace difícil poder observar los detalles. En este tipo de imagen suele se poco eficaz la simple expansión del histograma, ya que ambos extremos, negro y blanco, suelen estar presentes en la misma. La linearización o ecualización de los niveles de gris puede ser una forma eficaz para resaltar o mejorar la visualización de la zonas oscuras, sin que se pierdan los detalles, por saturación, en el resto de la imagen.

Imagen de una radiografía en la que existen zonas oscuras porco visibles

Efecto de la linearización o ecualización de la función histograma sobre la imagen anterior. El proceso mejora la visualización de las zonas oscuras sin que se pierdan detalles en las zonas más claras de la imagen.

Ejemplo de linearización para hacer visibles zonas oscuras en una fotografía

Página anterior

Volver a Mejora de la imagen